Ortodontia em Itabuna - Alinhando Seu Sorriso com Precisão e Tecnologia
- Especialidades
- Ortodondia
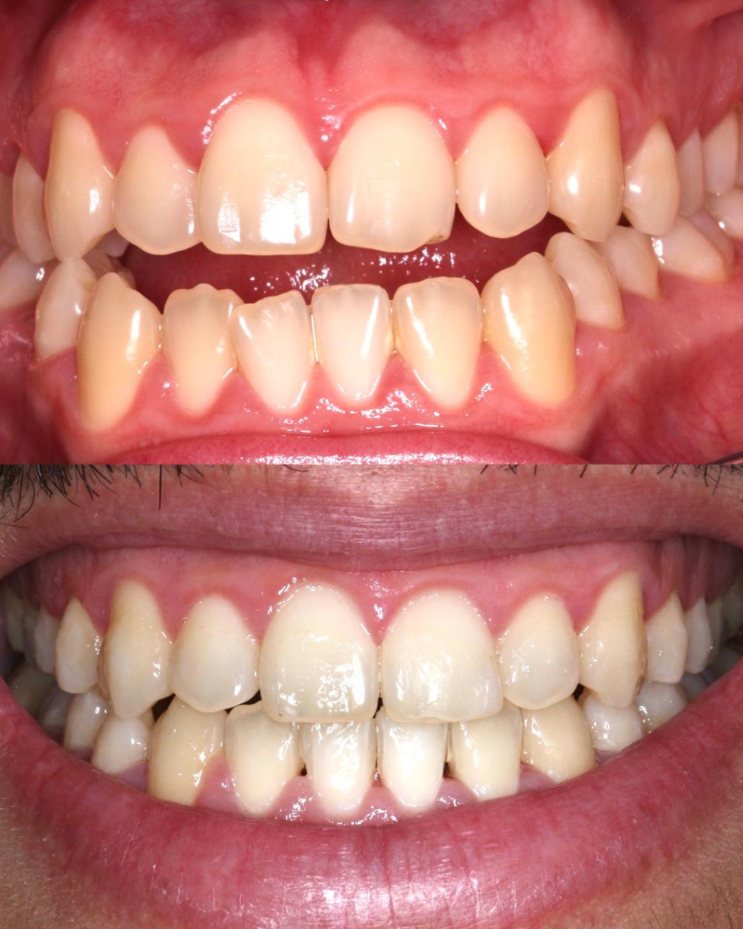
A ortodontia é a especialidade responsável por corrigir o posicionamento dos dentes e a mordida. Com técnicas modernas e aparelhos personalizados, é possível alinhar o sorriso, melhorar a mastigação e evitar problemas funcionais.
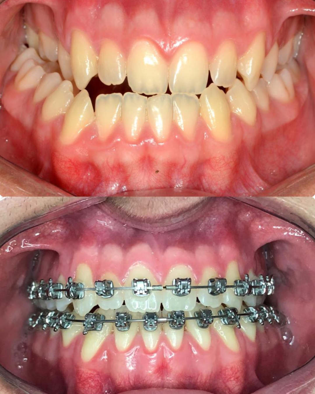
Se você busca um ortodontista em Itabuna, o Dr. Luiz Gusmão oferece tratamentos eficazes, desde aparelhos fixos até alinhadores invisíveis, com tecnologia avançada e atendimento personalizado.

Os aparelhos ortodônticos corrigem o alinhamento dos dentes e a mordida, proporcionando um sorriso mais harmônico, funcional e saudável.
O desalinhamento pode comprometer a estética e dificultar a higienização.
Problemas como mordida aberta, cruzada ou profunda podem causar desgastes nos dentes.
O encaixe inadequado da mordida pode afetar a mastigação e a digestão.
A posição incorreta da arcada pode influenciar na respiração e até na fala.
Alterações no crescimento ósseo podem gerar dores e desconfortos na articulação.
O sorriso desalinhado pode afetar a confiança e a qualidade de vida.
Localizado em Itabuna-BA, oferecemos tratamentos com tecnologia de ponta e atendimento pontual, garantindo conforto e qualidade no cuidado do seu sorriso.




EXCELENTE Com base em 37 avaliações Amanda Lima2025-02-18Trustindex verifica se a fonte original da avaliação é Google. Excelente profissional! 👏 Talita Borges2025-02-10Trustindex verifica se a fonte original da avaliação é Google. Ótimo atendimento!! Dr muito simpático e tirou todas as duvidas. Denny2025-02-05Trustindex verifica se a fonte original da avaliação é Google. Dr Luiz é um profissional nota 10. Além da sua capacidade técnica e equipamentos de primeiro mundo ele é super generoso e atencioso. Fiz 2 implantes e não senti absolutamente nada e já sai com os dentes em boca. Deus continue abençoando as mãos dele. JC_TV2025-02-05Trustindex verifica se a fonte original da avaliação é Google. Excelente profissional, me senti muito confortável, um lugar totalmente aconchegante, com um bom atendimento e principalmente a qualidade e competência do doutor! AILTON SANTOS LIMA2025-02-04Trustindex verifica se a fonte original da avaliação é Google. Excelente profissional, mãos abençoadas por Deus 🙏muito obrigada 🙏 Vitória Oliveira2024-10-31Trustindex verifica se a fonte original da avaliação é Google. Dr. Luiz é um excelente profissional, competente e dedicado. Me atendeu em uma urgência e superou minhas expectativas. Gratidão! clausio melo2024-08-14Trustindex verifica se a fonte original da avaliação é Google. O melhor especialista em odontologia geral e especializada de Itabuna. Grande profissional que além de ser extremamente ético possui os recursos tecnológicos mais atuais para qualquer tratamento. Sou cliente há mais de 10 anos. Indico a todos. Iara Queiroz2024-08-13Trustindex verifica se a fonte original da avaliação é Google. Ótimo profissional, ambiente agradável e aconchegante. É um verdadeiro acolhimento para solucionar o seu caso . Super indico !Certificado: TrustindexO selo verificado do Trustindex é o Símbolo Universal de Confiança. Apenas as melhores empresas podem obter o selo verificado que tem uma pontuação de avaliação acima de 4.5, com base nas avaliações dos clientes nos últimos 12 meses. Leia mais
Localização privilegiada em Itabuna-BA, equipamentos de última geração e atendimento pontual para seu conforto e segurança!
Tudo o que você precisa saber para conquistar um sorriso alinhado e saudável!
O tratamento pode ser iniciado em qualquer idade, mas o ideal é a partir da infância, quando a estrutura óssea ainda está em desenvolvimento.
Nos primeiros dias, pode haver um leve desconforto, mas ele diminui à medida que a boca se adapta ao aparelho.
O aparelho fixo usa bráquetes e fios para movimentar os dentes, enquanto o alinhador invisível é removível, discreto e confortável.
O tempo varia conforme a complexidade do caso, podendo durar de alguns meses a alguns anos.
Não, mas exigem mais atenção na escovação e no uso do fio dental para evitar o acúmulo de resíduos.
Sim! A contenção é essencial para manter os dentes alinhados e evitar que voltem à posição original.
Copyright © 2025 Todos os direitos reservados.